診療のご案内

診療科目・内容
-
歯科
-
小児歯科
ホワイトニング・審美的な配慮に基づく治療
予防歯科・ブラッシング指導
担当医師
-
院長 伊部 貴幸
診察時間
(毎週水曜日・及び祝祭日は休診日となります)
| 月・火・木・金 | 9:30~12:00 | 14:00~19:00 |
|---|---|---|
| 土 | 9:30~12:00 | 午後は予約のみ |
| 日 | 9:30~12:00 | 午後休診 |
| 水曜・祝日 | 休診日 | |
各種カード・電子マネーが使えます

診察形態・予約について

予約制による診療
ご予約は「TEL:011-872-3966」まで
※待ち時間なく診療する為に、事前にお電話にて御予約下さい。初診時や急患の場合でも、混雑状況や予約の状況により対応致しかねる場合もございます。御了承下さいませ。
各種健康保険の利用
※国保・社保などの各種健康保険が利用可能です。初診時、又は月替わり最初の診療時には保険証をご持参ください。
ジェネリック医薬品の処方
当院では、薬効成分が新薬と同じでより安価な「ジェネリック医薬品(後発医薬品)」を積極的に処方しております。ジェネリック医薬品をご希望の場合は、お気軽にお申し出ください。また、ジェネリック医薬品については詳しくは日本ジェネリック医薬品学会をご覧ください。
診療内容について
一般歯科
むし歯・欠けた歯・歯周病・抜歯・入れ歯などの一般的な治療を行います。
小児歯科
無理をせず、自発的にお口を開けてくれるように練習してから入ります。
大人になってからの歯科嫌いにならないことを最も重視しております。
保険外診療
保険診療より見た目がきれい・より痛くない義歯としてのニーズにお応えします。
-
1 痛くない義歯・コンフォート義歯

シリコンを使ったフィット感が良い義歯です。
費用:250,000円~
-
2 セラミック歯

保険の差し歯より、より透明感があり自然で美しい仕上がりです。
費用:55,000円~
-
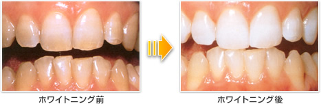
3 ホワイトニング
ホワイトニングの概要
ホワイトニングとは、歯に色を塗ったり表面を削ったりするのではなく、歯そのものの色を漂白することで理想の白さを得る方法です。ある歯のホワイトニング意識調査によると、自分の歯が白いと思っていない人が70%以上おられるそうです。その70%の方たち90%以上が、歯を白くしたいと何らかの形で思っておられるそうです。一般的に、歯の色見本としてシェードガイド(下記写真)という器具を用いますが、日本人の天然の歯は、一般的にA3程度の色調をしております。A3よりも黒っぽい色調をしておられるのでしたら、やや暗いと判断できます。

白い健康的な歯は、やはり皆さんの憧れなんですね。
では、歯が白くない原因って主に何なんでしょうか?
歯が白くない原因は、大別して歯の着色と、歯の元々の色素沈着が挙げられます。
費用:上下33,000円~
ホワイトニングの流れ
当院のホワイトニングは、下記のような流れで行います。
1当院のホワイトニングは、下記のような流れで行います。
コーヒー、タバコのヤニ、茶渋など、歯の表面に付いている汚れを、歯科医院専用の機械を用いて落とします。本来歯の持っている色調を回復させます。
※歯周病に罹患しておられれば、健康保険も適用されます
2ホワイトニング
歯の根本的な色調を、薬液を用いて白く変化させます。頭髪の脱色に近いイメージです。
1) 御来院いただき、専用の歯型を採り、トレー(マウスピース)を作成します。
2) トレーをお渡しし、ご自宅で薬液を中に入れて装着、ホワイトニングを行います。
期間は2週間。ほぼどなたでも効果が見られますが、歯の性状によって、効果が発現しにくい方も中にはいらっしゃいます。

